
Hoy por la mañana falleció Tatiana Schlossberg a los 35 años, víctima de una leucemia mieloide aguda agresiva y poco común, según confirmó su familia en las últimas horas. Schlossberg, reconocida periodista ambiental, era nieta del expresidente estadounidense John F. Kennedy e hija de Caroline Kennedy y Edwin Schlossberg. La enfermedad le fue diagnosticada tras el nacimiento de su segunda hija en mayo de 2024. A pesar de someterse a quimioterapia, inmunoterapia y dos trasplantes de células madre, no logró superar el cáncer.
¿Qué es la leucemia mieloide aguda?
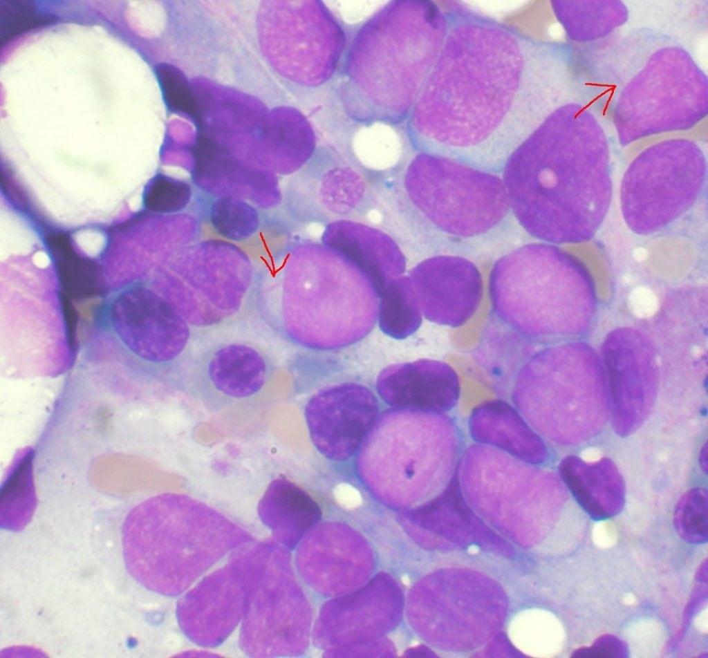
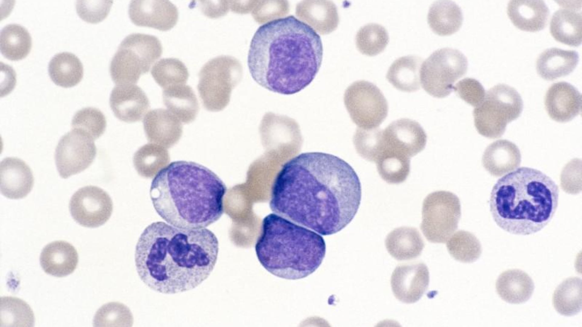
Según la Mayo Clinic, la leucemia mieloide aguda es un cáncer de la sangre y la médula ósea caracterizado por la proliferación descontrolada de células inmaduras conocidas como mieloblastos. Estas células anómalas se multiplican rápidamente, impiden la producción normal de glóbulos rojos, glóbulos blancos y plaquetas, y se acumulan tanto en la médula ósea como en la sangre. La enfermedad se denomina “aguda” justamente por la rapidez con la que puede progresar y poner en riesgo la vida si no se trata de inmediato.
Causas y factores de riesgo
De acuerdo con la American Cancer Society, no existe una causa única identificable para la leucemia mieloide aguda. La enfermedad suele iniciarse cuando una célula madre sanguínea de la médula ósea sufre una mutación genética que le permite multiplicarse sin control.
Entre los factores de riesgo se encuentran la exposición previa a radiación, el contacto con ciertos químicos como el benceno, tratamientos de quimioterapia o radioterapia para otros cánceres, algunos trastornos genéticos —como el síndrome de Down— y antecedentes familiares de leucemia. Sin embargo, en la mayoría de los casos, la LMA aparece sin que exista ningún factor de riesgo evidente.

Síntomas principales
El Instituto Nacional del Cáncer de EE.UU. señaló que los síntomas pueden confundirse fácilmente con los de infecciones comunes o episodios gripales. Entre los más frecuentes se encuentran la fatiga intensa, fiebre persistente, infecciones recurrentes, palidez marcada, sangrados o hematomas sin causa aparente, dolor óseo o articular, pérdida de peso involuntaria y sudoración nocturna. Cuando varios de estos síntomas aparecen al mismo tiempo, se recomienda consultar a un médico de manera inmediata.
Diagnóstico y subtipos
El diagnóstico de la leucemia mieloide aguda, según la Mayo Clinic, se confirma mediante análisis de sangre y biopsias de médula ósea, en las que se observa un elevado número de células inmaduras y se identifican alteraciones genéticas específicas.
Existen distintos subtipos de LMA, determinados por el tipo de células afectadas y las anomalías cromosómicas. Uno de los subtipos más peligrosos es la leucemia promielocítica aguda, que puede provocar hemorragias graves si no se trata rápidamente.

Tratamiento de la leucemia mieloide aguda
El tratamiento debe comenzar de inmediato y suele ser intensivo, según el Instituto Nacional del Cáncer de EE.UU. La base terapéutica es la quimioterapia, cuyo objetivo es eliminar las células malignas y lograr la remisión completa de la enfermedad. En determinados casos, especialmente en personas jóvenes o cuando el cáncer reaparece, se recurre al trasplante de células madre hematopoyéticas (de médula ósea) para restaurar la producción normal de sangre. En los últimos años, las terapias dirigidas e inmunoterapias han ampliado las opciones de tratamiento, permitiendo adaptar la estrategia según las alteraciones genéticas de cada paciente.
Las complicaciones, como la mielodepresión (disminución de células sanguíneas sanas), son frecuentes durante el tratamiento y pueden provocar infecciones graves y hemorragias. Por este motivo, la American Cancer Society enfatiza la necesidad de controles médicos estrictos y soporte clínico especializado durante todo el proceso.
Pronóstico y calidad de vida
El pronóstico de la leucemia mieloide aguda depende de múltiples factores, entre ellos la edad, el estado general de salud y la respuesta al tratamiento inicial. Según el Instituto Nacional del Cáncer, en adultos jóvenes y con buen estado físico la tasa de remisión completa puede superar el 60%, aunque siempre existe riesgo de recaídas. Los avances en terapias personalizadas y en trasplantes han mejorado la supervivencia, pero el seguimiento médico debe mantenerse de por vida.