
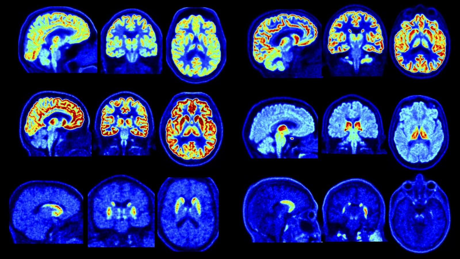
Un equipo de investigadores de la Universidad de Yale dio a conocer los primeros resultados de las pruebas realizadas con NeuroEXPLORER, un escáner cerebral de última generación que promete cambiar la forma de estudiar el cerebro humano. El dispositivo, que ya opera en el PET Center de la universidad, en New Haven (Estados Unidos), ofrece imágenes de una nitidez inédita para la investigación neurológica.
Gracias a esta tecnología, médicos y científicos podrán detectar señales de enfermedades en etapas mucho más tempranas y comprender con mayor precisión cómo interactúan y funcionan las distintas áreas cerebrales. El avance abre la puerta a estudios que hasta ahora eran técnicamente imposibles, marcando un salto clave en el diagnóstico y la investigación del sistema nervioso.
Según la Yale School Medicine, el aparato funciona con técnica PET, una forma de obtener imágenes del cuerpo usando una sustancia que emite señales desde dentro del cerebro.

El nuevo escáner destaca porque capta señales más pequeñas, ve mejor las estructuras profundas y muestra cómo trabajan distintas partes del cerebro. Además, puede distinguir entre problemas diferentes, como tumores o daños por enfermedades como el Alzheimer y el Parkinson.
De acuerdo con lo que explicó Richard Carson, profesor que participó en el desarrollo del nuevo equipo, las imágenes que se logran con el NeuroEXPLORER “abren la puerta a estudios que antes resultaban imposibles”.

Según Tommaso Volpi, otro de los investigadores, el grupo estudió los cerebros de siete personas usando siete tipos de sustancias distintas con el escáner. Así pudieron ver claramente partes difíciles de detectar, como el tracto mamilotalámico y la sustancia negra, dos zonas clave para la memoria, el movimiento y enfermedades como el Parkinson.
Imágenes más claras y menos procedimientos invasivos
Uno de los logros más importantes del NeuroEXPLORER es que puede medir la cantidad de sangre que llega a las distintas áreas del cerebro de manera sencilla y sin sacar sangre del paciente.

Antes, los médicos debían tomar muestras o analizar la sangre para interpretar las imágenes, un método incómodo y molesto. Según los resultados publicados, el nuevo escáner muestra claramente cómo las sustancias se mueven en los primeros minutos después de su aplicación, lo que ayuda a los médicos a medir el flujo sanguíneo y entender mejor cómo está funcionando el cerebro.
El aparato también tiene partes más pequeñas para captar mejor las señales y un campo de visión que permite ver el cerebro y el cuello al mismo tiempo, algo que no pueden hacer los escáneres comunes.
Además, una función especial, llamada “profundidad de interacción”, permite saber con exactitud el lugar donde se detectó cada señal, haciendo las imágenes más precisas.

Los investigadores explicaron que el NeuroEXPLORER necesita menos cantidad de sustancia radioactiva para mostrar buenas imágenes. Esto es útil especialmente para estudiar cerebros de jóvenes o adolescentes, ya que así se reduce el riesgo por la radiación.
El equipo de Yale señaló que esto permitirá investigar enfermedades que aparecen durante la infancia o la adolescencia, como el autismo o la esquizofrenia, usando mucho menos radiación que antes.

Según Carson, la capacidad de ver detalles tan pequeños y seguir la evolución de la enfermedad en menos tiempo mejora el diagnóstico y el control de los tratamientos. También permite ver si un tumor responde al tratamiento o si lo que se observa es una inflamación causada por la terapia, algo difícil de distinguir hasta ahora.
En ese sentido, comparar estos datos ayuda a elegir el mejor tratamiento para cada paciente y anticipar cómo avanza la enfermedad.
El NeuroEXPLORER también ayuda a los científicos a estudiar mejor cómo funcionan las conexiones entre las neuronas y cómo se envían las señales en el cerebro. Esto es clave para investigar enfermedades como el Alzheimer, porque permite ver problemas muy pequeños en los primeros momentos y hacer controles en el tiempo para ver cómo avanza la enfermedad.

Este equipo es el resultado de un trabajo conjunto entre la Universidad de Yale, la Universidad de California-Davis y United Imaging Healthcare of America. El proyecto recibió apoyo del National Institutes of Health BRAIN Initiative y de Yale University.
Con estos resultados, el NeuroEXPLORER establece una nueva manera de estudiar el cerebro al permitir ver zonas pequeñas y detectar problemas a tiempo.
Así, mejoran los diagnósticos y da a médicos y científicos más herramientas para buscar tratamientos efectivos y entender el cerebro como nunca antes.