
La transmisión materno-infantil de la enfermedad de Chagas figura hoy como la principal vía de contagio en áreas urbanas y exige estrategias sanitarias sostenidas, según coinciden fuentes de organismos internacionales y especialistas.
La Organización Mundial de la Salud (OMS) estima que entre 6 y 7 millones de personas en el mundo viven con esta enfermedad, mientras que en Argentina la Organización Panamericana de la Salud (OPS) ubica a 1,6 millones de personas ya infectadas y reporta que más de 1.300 bebés nacen cada año con Chagas.
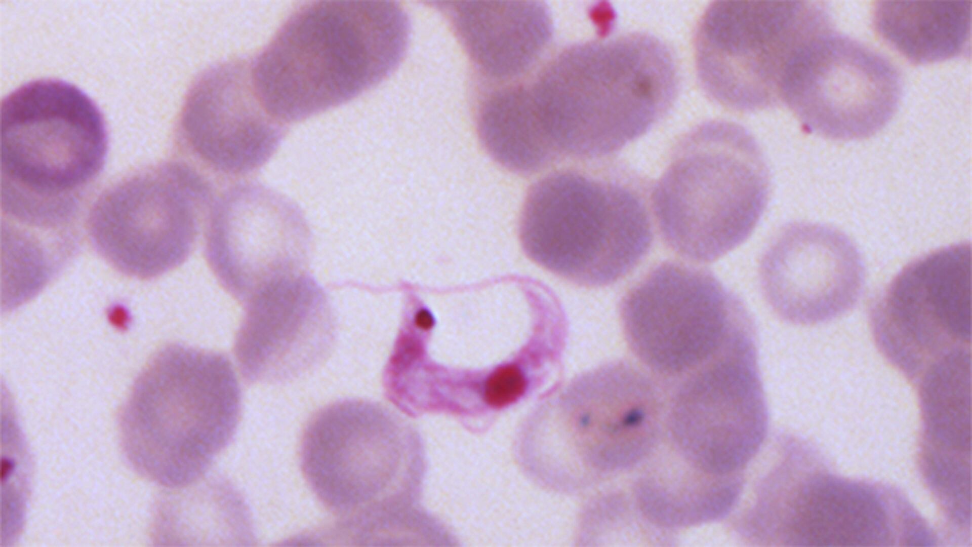
El contagio se produce por un vector, que es la vinchuca, aunque también por transfusión sanguínea, trasplantes o accidentes de laboratorio, aunque estos tiene menor incidencia en áreas urbanas. En estas regiones el parásito Trypanosoma cruzi se transmite de forma predominante de una persona gestante a su bebé durante el embarazo o el parto.
El Chagas representa uno de los desafíos de salud pública más persistentes en la región de América Latina. La enfermedad puede avanzar largo tiempo sin síntomas reconocibles y, en fase crónica, desencadenar complicaciones cardíacas, digestivas o neurológicas. El tratamiento antiparasitario, con benznidazol o nifurtimox, resulta efectivo, especialmente si se administra en etapas tempranas, aunque el acceso a medicación y diagnóstico sigue siendo insuficiente, especialmente en contextos vulnerables, advierte la OPS.
La Ciudad de Córdoba realizó recientemente un acto para presentar el balance del primer año de aplicación local de la “Estrategia Municipal hacia el Control de la Transmisión Materno-Infantil de Chagas”. El objetivo oficial es mejorar el acceso al diagnóstico y tratamiento precoz, combinando campañas territoriales, vigilancia epidemiológica y articulación institucional.

Durante el evento, el responsable del área Chagas de Fundación Mundo Sano, doctor Roberto Chuit, subrayó el trabajo conjunto para diseñar modelos aplicables en distintas regiones: “Mundo Sano lleva más de 30 años trabajando en el abordaje integral del Chagas, impulsando innovación, investigación aplicada y políticas públicas que permitan modelos replicables y escalables”, señaló el especialista, quien resaltó que “la experiencia de la ciudad de Córdoba demuestra que el control del Chagas exige una estrategia integral que combine vigilancia, diagnóstico activo, investigación, trabajo territorial y educación comunitaria, con atención prioritaria a las mujeres en edad reproductiva”.
Chuit sostuvo que el enfoque local podría replicarse en otras jurisdicciones, de comprobarse el impacto de la cooperación entre organismos y la comunidad: “Este modelo tiene potencial de réplica regional. Solo necesitamos profundizar el trabajo para generar evidencia sólida que muestre el impacto real de la cooperación interinstitucional y comunitaria”.

Durante su intervención, el intendente de Córdoba, Daniel Passerini, hizo referencia al impacto de los controles integrados en las consultas prenatales: “La incorporación sistemática del diagnóstico en controles prenatales y en mujeres en edad reproductiva incrementa la detección temprana, permite iniciar tratamiento oportuno y ayuda a identificar casos crónicos históricamente invisibilizados”, puntualizó. Passerini consideró que la política sanitaria sostenida puede reducir la transmisión congénita en una ciudad endémica como Córdoba.
El secretario de Salud municipal, Ariel Aleksandroff, enumeró los principales ejes de la estrategia: implementación de tamizaje serológico en controles prenatales, operativos móviles con servicios de diagnóstico y ecografía, y uso de telesalud para recaptación y seguimiento de pacientes.
Aleksandroff precisó: “Sumamos herramientas de telesalud para garantizar recaptación y seguimiento. Todo esto, acompañado por la capacitación continua de nuestros equipos”. Añadió que, en un año, “la articulación entre los distintos nodos permitió saber quién necesitaba seguimiento, quién debía iniciar tratamiento y quién ya tenía su situación resuelta. Logramos evitar pérdidas en el circuito y mejorar la trazabilidad de cada caso”.
La primera etapa de la estrategia se implementó en 17 centros de salud de la Zona Sanitaria N°4, una de las áreas con mayor diversidad sociocultural de la capital cordobesa, que nuclea el 24% de la población migrante local, el mayor número de embarazadas bajo control y el 20% de los nacimientos.

La subsecretaria de Bienestar Integral municipal, Marcela Marramá, calificó como desafiante el diseño y la articulación de los circuitos de atención. “Estas características, sumadas a la multiplicidad de actores y a los circuitos heterogéneos de atención, plantearon desafíos concretos para la articulación y el seguimiento, pero las acciones territoriales demostraron que la búsqueda activa resulta efectiva y necesaria”. La funcionaria comunal informó que la expansión de la estrategia al resto de la ciudad está prevista para 2026.
Fuentes de Fundación Mundo Sano y organismos internacionales indicaron que la prioridad para los sistemas sanitarios consiste en identificar y tratar precozmente a mujeres en edad fértil, junto con recién nacidos de madres infectadas, para cortar la cadena de transmisión congénita. Las políticas se orientan hacia el diagnóstico oportuno, acceso efectivo a la medicación y seguimiento clínico sistemático, pautas que se encuentran en línea con las guías clínicas internacionales vigentes.