
El ex jugador de la NBA Jason Collins se enfrenta uno de los desafíos más complejos de su vida tras ser diagnosticado con un agresivo cáncer cerebral, denominado glioblastoma, que se encuentra en una fase 4 de la enfermedad. En una entrevista, el retirado basquetbolista de 47 años reveló que el tumor es irresecable por los riesgos que implica una operación para extirparlo y que, pese a los tratamientos convencionales, el pronóstico promedio de supervivencia oscila entre 11 y 14 meses. Ante este escenario, optó por explorar terapias experimentales, con la esperanza de que puedan ofrecer una alternativa para su caso y, eventualmente, para otros pacientes.
En el diálogo con la periodista Ramona Shelburne de ESPN, Jason Collins dio detalles de los primeros síntomas que surgieron el verano pasado, cuando notó dificultades para realizar tareas cotidianas, como preparar su equipaje para asistir al Abierto de Estados Unidos. «Empecé a ser muy olvidadizo. Por ejemplo, me sentaba en una habitación y no me daba cuenta de cuánto tiempo llevaba allí“, dijo.
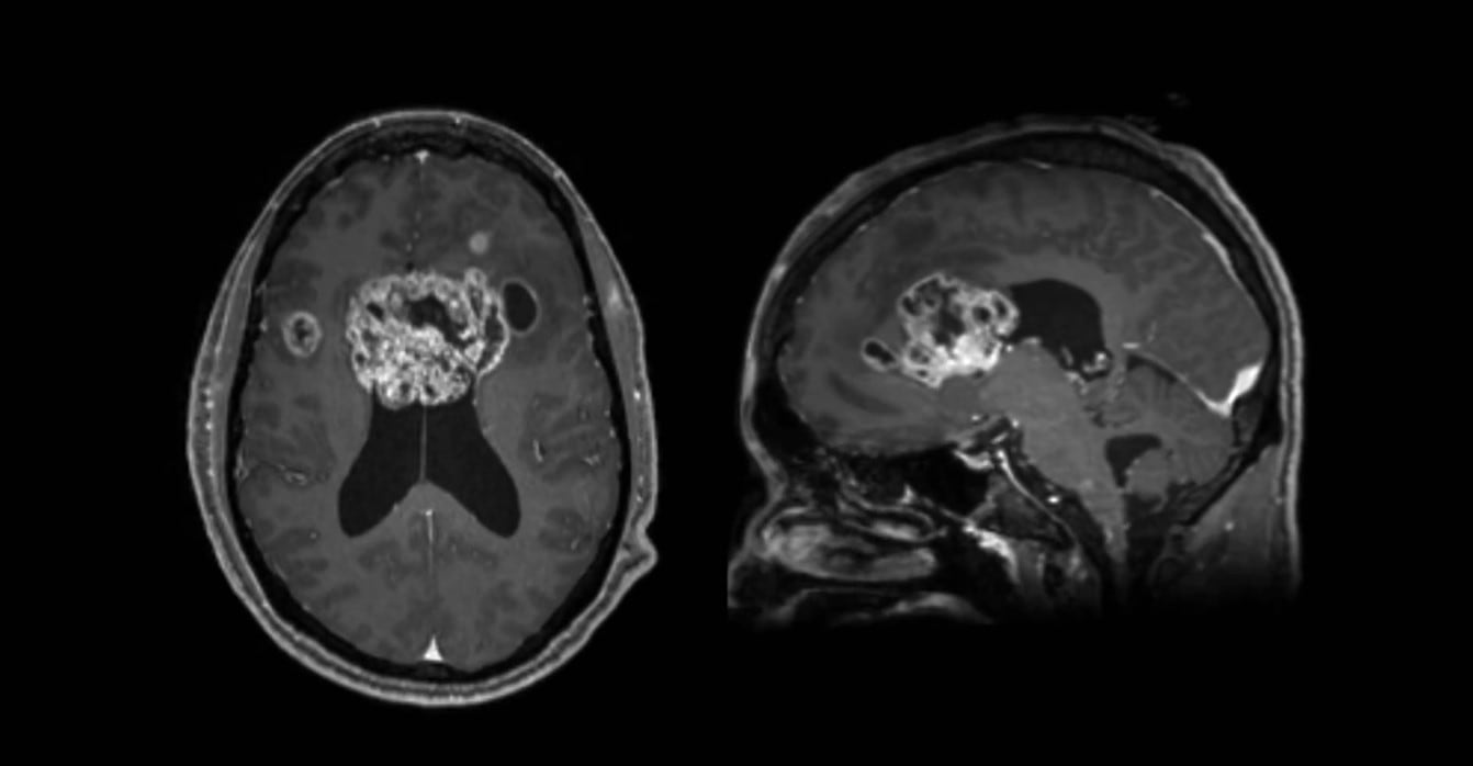
Lo que siguió fue la consulta médica, en la que se descubrió el tumor cerebral mediante una tomografía computarizada y el diagnóstico de glioblastoma avanzado. Su esposo, Brunson Green, contó en el reportaje las palabras de los doctores: “Fuimos a urgencias y en cinco minutos nos dijeron que tenía un bulto del tamaño de una pelota de béisbol en medio del cráneo”.

El ex jugador describió a su enfermedad como “una mariposa que prácticamente lo invadió todo”, dando a entender la velocidad con la que se propagó el cáncer en su cuerpo. «Había terminado un tratamiento de radioterapia, pero el glioblastoma aprendió cómo volver a crecer. Había duplicado su tamaño en unas dos o tres semanas. Recuerdo que mi hermano me hablaba de la batalla a la que me iba a enfrentar. Me decía: ‘Tienes que luchar’. Y eso es lo que he hecho toda mi vida, luchar», prosiguió.
“El plazo que dieron fue: ‘Si no haces nada, te quedan entre seis semanas y tres meses de vida’. Con el tratamiento estándar son 13 meses, pero sé a dónde conduce ese camino y por eso quiero hacer algo ahora. Porque ese camino conduce a la muerte. No queremos quedarnos sentados esperando de brazos cruzados, por eso vamos a viajar al extranjero para dar el siguiente paso. Ahora mismo estoy haciendo las maletas para estar allí entre siete y ocho semanas. El país al que vamos nos ha dado el visto bueno en 48 horas», expresó Collins en la entrevista, confirmando su viaje a Singapur para continuar con su batalla contra el cáncer y someterse a una terapia con drogas que no está aprobada en Estados Unidos.
“Vamos a realizar una quimioterapia experimental en la que se administran una nanocélula llamada EDV, que básicamente es como un Caballo de Troya. Se le añade un tipo especial de fármaco quimioterapéutico que normalmente no puede atravesar la barrera hematoencefálica. Es algo muy tecnológico, propio de la ciencia ficción, pero estamos en la ciudad del futuro, así que vamos a hacer cosas del futuro. Fue una decisión fácil, más experimental. Al igual que supe que estaba tomando la decisión correcta cuando lo hice público. Y si no es por mí, que sea por otra persona», explicó Collins.

Luego, el ex basquetbolista manifestó que no teme a la muerte o que el resultado del tratamiento no sea el esperado: “No tengo miedo de romper una barrera o intentar hacer todo lo posible porque estoy rodeado de amor y sé que mi familia es muy fuerte y que estarán bien”.
Collins, quien se formó en el sur de California y jugó básquetbol universitario en Stanford junto a su hermano gemelo Jarron, fue seleccionado en la primera ronda del draft de 2001 por los Houston Rockets. A lo largo de 13 temporadas en la NBA, jugó para seis equipos, incluidos los New Jersey Nets (posteriormente Brooklyn Nets), y se retiró en 2014. En 2013 se convirtió en el primer jugador activo abiertamente gay en la historia de la competencia, un paso que, según explicó a ESPN, quiso dar en sus propios términos, al igual que ahora con su diagnóstico. “No me preocupaba que se filtrara antes de que saliera la historia, porque confiaba en la gente a la que se lo conté. ¿Y saben qué? No se filtró nada. Pude contar mi propia historia, como yo quería. Y ahora puedo decir con sinceridad que los últimos 12 años han sido los mejores de mi vida. La vida es mucho mejor cuando te muestras tal como eres, sin miedo a serlo, en público o en privado. Así soy yo. Con esto estoy lidiando”, expresó.
La carrera de Collins en la NBA estuvo marcada por su valentía y ha vuelto a demostrar esa misma fuente de valor al compartir su historia. Jason y su marido, Brunson, tienen previsto quedarse en Singapur al menos seis semanas más y aún no se saben si volverán o se quedarán allí. Esperan que la ciencia pueda curar aquel tumor que cambió sus vidas para siempre.
